WAS IST EINE HÜFTPROTHESE?
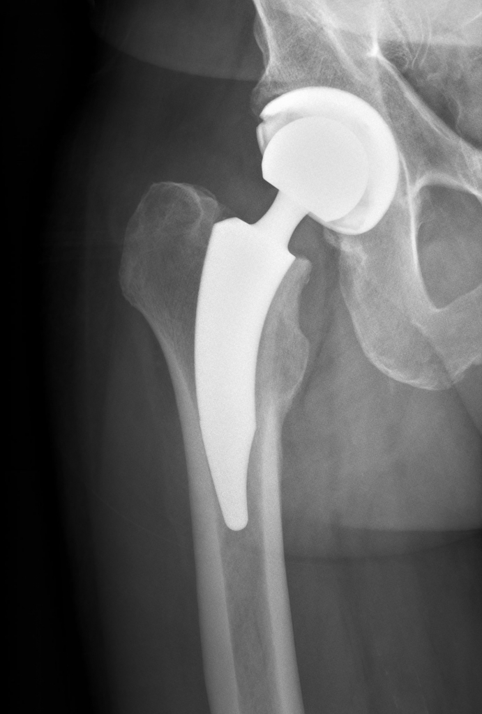
Unter dem Begriff Hüftprothese versteht man den vollständigen Ersatz (Totalendoprothese) des eigenen Hüftgelenkes. Es wird sowohl die eigene Gelenkspfanne, als auch der Oberschenkelkopf inklusive Oberschenkelhals mittels Metallimplantat ersetzt.
Im Inneren einer Hüftprothese sorgt das Innenleben (Gleitpaarung) für eine reibungsarme Verbindung. Es kommen hier entweder Keramiken oder Kunststoffe zum Einsatz, die die Langlebigkeit einer Hüftprothese ermöglichen.


AUFBAU EINES KÜNSTLICHEN HÜFTGELENKES
Bei der Implantation eines Kunstgelenkes wird das arthrotisch veränderte Hüftgelenk komplett ersetzt. Der Oberschenkelhals wird künstlich durchtrennt und der Oberschenkelkopf auss der Gelenkspfanne entfernt. Danach wird in die natürliche Hüftpfanne eine Metallpfanne eingesetzt und im Bereich des Oberschenkels ein Metallschaft eingeführt. Zwischen den Metallkomponenten dient ein abriebsarmer Kunststoff (Polyethylen) oder Keramik in Kombination mit einem Keramikkopf als Gleitschicht in der Kunstpfanne.
Die beiden Metallkomponenten bestehen hauptsächlich aus Titan und können spezielle Beschichtungen aufweisen. Einerseits hilft eine Calciumphosphat-Beschichtung der schnellen Osteointegration, also dem Einwachsen des Implantates in den Knochen, anderseits dient eine Plasmaspraybeschichtung der primären Stabilität nach der Operation und der besseren Verbindung mit dem Knochen.
LEISTUNGEN IM BEREICH HÜFTENDOPROTHETIK:

DAS SCHMERZHAFTE HÜFTGELENK:
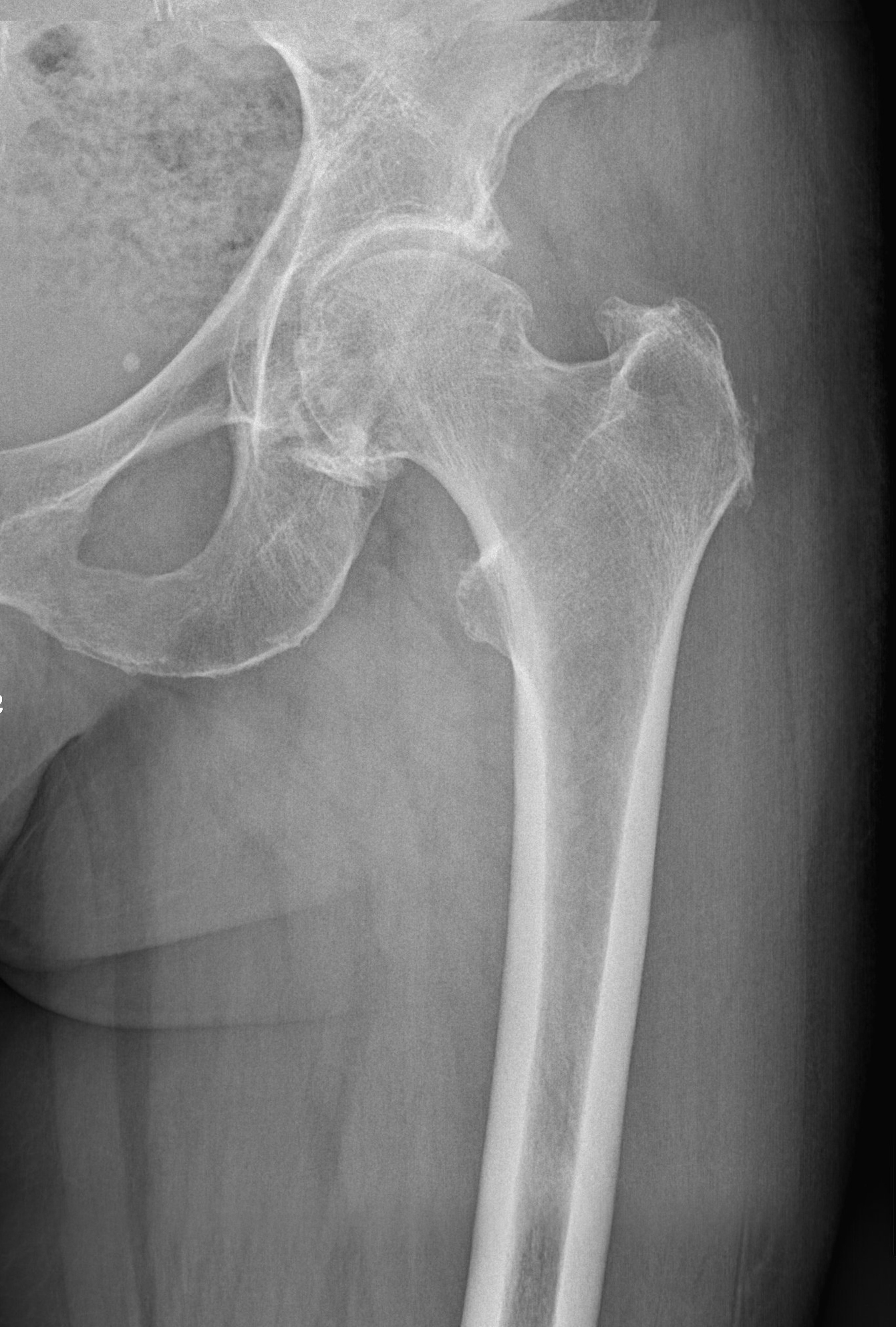
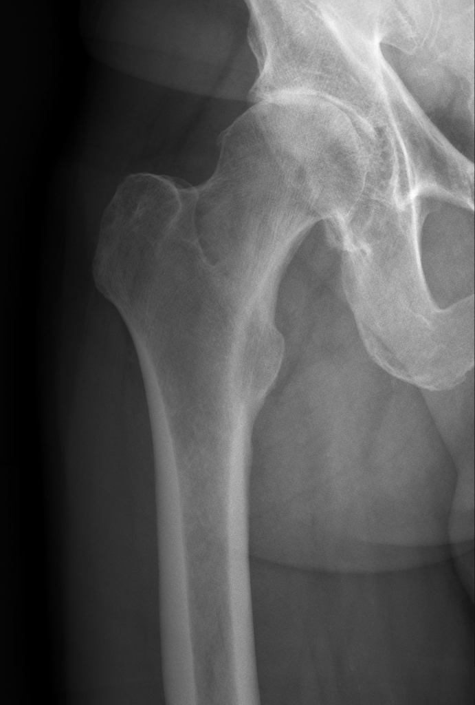
Die Abnützung des Hüftgelenkes (Arthrose) führt zu immer wieder kehrenden Schmerzen im Bereich des Hüftgelenkes, vor allem im Bereich der Leiste. Durch den Verlust des Knorpels kommt es zur Gelenksentzündung und zu organischen Veränderungen im Gelenk. Als Abwehrmaßnahme des Körpers wird nun durch Knochenanbau versucht, die Bewegung des Gelenkes einzuschränken und dadurch die Entzündungen zu minimieren. Dadurch kommt es allerdings auch zu einer mechanischen Einengung im Gelenk, damit zur Bewegungseinschränkung im Hüftgelenk und wiederum zu Schmerzen.
Dieser Teufelskreis kann nur schwer durchbrochen werden. Die anfangs leichten Schmerzen kommen im Intervall immer häufiger vor und werden stärker. Die Gelenkskapsel kontrahiert sich weiter und die Muskulatur verkürzt sich, die Schmerzen können nun von der Leiste weiter in den vorderen Oberschenkel wandern und rund um das ganze Gelenk auftreten. Nun ist der ideale Zeitpunkt gekommen, um einen Gelenkersatz durchführen zu lassen.
Ich berate Sie gerne, welches Implantat und welche Operationsmethode am Besten für Ihr Hüftgelenk geeignet ist!
DR. MED. UNIV. ALEXANDER PLANITZER MSC

ORTHOPLAN.AT
ABLAUF EINER HÜFTOPERATION:


Bild oben: Prothese mit normaler Schaftlänge zur Verankerung im Röhrenknochen
Bild unten: Kurzschaftprothese mit Verankerung im Schenkelhals


INFORMATIONSMATERIAL HÜFTPROTHESE
Vereinbaren sie jetzt einen Termin bei Dr. med. univ. Alexander Planitzer, M.sc.
Tel.: +43 662 87 36 01
Fax: +43 662 87 36 01 – 25
Email: office@orthoplan.at

